熬夜如何搞坏你的身体
北京时间 21:00,打工人小吴结束了疲惫的工作。22:00,小吴到家,随即瘫倒在床上开始刷短视频。凌晨 1:00 ,小吴终于感到困了,洗漱完毕并调好明早 8:00 的闹钟后……
他缩进被窝里继续玩手机。而真正入睡的时间,往往都在 2:00 以后。
这样晚睡早起的生活持续一段时间后,小吴的身体会发生什么样的变化?熬夜,又是怎样在不知不觉中影响我们的身体的?

Dipqi Ghozali | Unsplash
在做进一步的探讨前,我们首先要明白熬夜的基本定义。
睡很晚算熬夜吗?
睡眠不足算熬夜吗?
睡眠时间不规律算熬夜吗?
想要回答以上几个问题,就得搞明白两个影响睡眠的基本因素——睡眠周期和睡眠时间。
首先来解释一下睡眠周期。当你全身放松地躺在床上进入睡眠状态时,身体会进入一个以 90 分钟为计时单位、并不断循环往复直到你醒来的睡眠周期。

正常的睡眠周期图 | Sleep Cycle
这个 90 分钟的周期可以分为 5 个阶段( 3 和 4 并为一个阶段)。

① 轻度睡眠期(Light Sleep)
这个阶段你进入浑身舒缓的状态,肌肉逐渐放松,眼睛逐渐放松……在入睡的边缘反复横跳,很容易醒来。

② 过渡期(Intermediate Sleep)
你的身体开始为深度睡眠做准备,眼球运动和脑电波减慢,体温开始下降,心率也开始逐渐放慢。

③-④ 深度睡眠期(Deep or Slow Wave Sleep)
第三阶段开始,你的大脑会产生频率约为 0.1~3.5 Hz 的 Delta 波,这是一种属于「无意识层面」、人体能产生的频率最慢的脑电波,可以帮助你进入无梦深度睡眠。
到第四阶段,你的大脑几乎专门开始生产 Delta 波,以引导你进入第五阶段。此时你正处于一个很难被叫醒的状态,身体开始进行自我修复。

五种基本脑电波
⑤ 快速动眼期(Rapid-Eye-Movement Sleep)
你的大脑开始产生大量的乙酰胆碱,这种神经递质对维持身体觉醒时的警觉和大脑皮质活动有着重要的作用,同时伴随着 PGO 波的产生,波动的振幅在视觉皮层达到最大化,这个阶段中你的眼球会快速移动。

REM 阶段也被称为反常睡眠或者异相睡眠(Paradoxical Sleep),因为这个时期大脑神经元的活动总体强度与清醒时相同,快速眼动期时的脑电波通常快速、低振幅、非同步,类似于清醒时的模式。

红框里 REM 时期的脑电波与清醒时的十分相似
至此,如果你没有在任何一个阶段醒过来,那么恭喜你完成了一个完整的睡眠周期。
在拥有完整睡眠周期的前提下,保证睡眠时长便成了良好睡眠的最终基底。
如果你能保持每晚有合理的睡眠周期(一般为 45 个周期,即约 68 个小时,具体视个人情况而定),并且始终在相近时间点入睡,那么从理论上来说,无论你的入睡时间有多「离经叛道」,都不算熬夜。
但如果不能,你可能就要面临「睡眠剥夺」带来的后果。

Sam Moqadam | Unsplash
睡眠剥夺是指机体因为环境或者自身的原因导致正常量的睡眠无法满足的状态,我们常说的「熬夜」,就是睡眠剥夺的表现。
而如果长期处在被睡眠剥夺的状态,会给人带来什么样的显著影响?
深度睡眠是我们将白天的所有互动转化为长期记忆和个性的方式,加利福尼亚大学伯克利分校的神经科学和心理学教授 Matthew Walker 就指出,缺少睡眠会阻止我们的大脑储存新的信息,逐渐导致记忆力衰退。

要了解熬夜是如何导致记忆力衰退,我们得先讲讲记忆的原理。
迄今为止主流对于记忆的原理比较中肯的说法认为,记忆是一种对信息提取的能力,记忆的储存点会散乱分布在整个神经环路上,并不集中于某一个固定的神经元单位。
而在记忆形成的过程中,我们依赖神经突触来进行信息传导,神经突触就像是连接神经元、细胞间的水管,收发着来自神经元的电脉冲信号,并在通向目的地的过程中触发神经递质如乙酰胆碱、5-羟色胺(a.k.a. 血清素)、去肾上腺素、多巴胺等的释放,传递给其他细胞。

神经元与神经突触 | GeneTex
一个普通的大脑中约有 10¹⁴~10¹⁵ 个这样的突触,将你每天的行为经历进行组织和重组,并将之储存在特定的神经元中。
突触连接强度是可调节的,这也被称为突触可塑性,突触可塑性会随着突触所释放的神经递质数量、细胞对神经递质的反应效率等因素的变化而变化,密切地影响着神经系统的发育、学习,从而被认为是构成记忆和学习的重要神经化学基础。

ULCA Health, YouTube
那么神经突触如何帮助你形成记忆呢?当你学习新技能、接收新信息时,脑中的突触连接便会增加,为你开一个新的「库」以储存相应记忆,而当你一遍遍去反复学习、训练时,有对应记忆的储存单元会不断接收相应的电脉冲,你做一件事也会变得越来越熟练,即所谓的熟能生巧。
同时,人脑中突触的数量实在过于庞大,并且活动频繁,这需要极大的能量消耗。精神病学教授 Chiara Cirelli 表示,人脑近 80% 的能量都被用于突触的生理活动。
所以当你经历了一整天的学习和接收信息之后,如果不适当休息,神经元反应会逐渐缓慢,发射的信号变弱,突触的传输时间也更长。比如深夜你带着困意躺在床上看视频时,大脑很可能没有办法完整注意和接收信息。

ULCA Health, YouTube
而当这种突触活动的负荷超过一定程度,便会导致大脑储存短期记忆的能力变弱,甚至长期记忆的储存也会受到影响。久而久之,你的记忆力便一天不如一天。
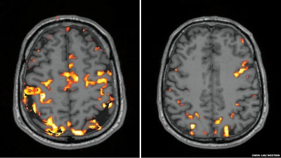
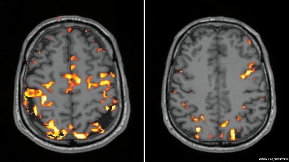
这种情况还会导致可怕的后遗症,神经外科教授 Fried 认为,在大熬特熬一次夜以后,神经元的正常工作能力会被剥夺,导致我们对周围世界的感知和反应出现认知缺陷。缺乏睡眠干扰了神经元编码信息和将视觉输入转化为意识思维的能力。
由于缺乏睡眠,像睡眠一样的缓慢波动会在清醒时扰乱大脑活动和工作表现,他们大脑的某些区域在打瞌睡,导致精神失常,而大脑的其他部分则处于清醒状态,像往常一样运转。

左右分别为正常睡眠和睡眠不足后的大脑活动 | OWEN LAB, WESTERN
缺乏深度睡眠对大脑的影响不止于此。
和你体内任何一个器官一样,大脑也要进行正常的代谢,由于脑内没有淋巴系统,所以大脑的垃圾清理工作由其独立的系统——脑脊液循环系统负责。
脑脊液存在于所有脊椎动物的大脑和脊髓周围组织中,当脑脊液进入大脑各个通道内时,就会开始对脑内的代谢产生的间质废物进行清除工作,最后流入肝脏,完成对大脑的清洁工作。

图中黑色箭头表示脑脊液流动方向 | OpenStax Anatomy and Physiology
这些大脑产生的间质废物中就包括 β-淀粉蛋白,这是一种由细胞分泌的淀粉样前体蛋白经 β-分泌酶 和 γ-分泌酶的蛋白水解作用而产生的多肽物质,在细胞基质沉淀聚集以后,会产生强烈的神经毒性,从而增加罹患神经退行性疾病的可能性,如阿茨海默症。
通常在深度睡眠时,脑脊液会通过睡眠中扩张的通道进入大脑,清除这类有毒废物。

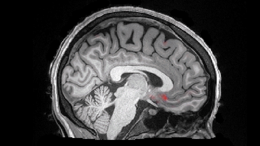
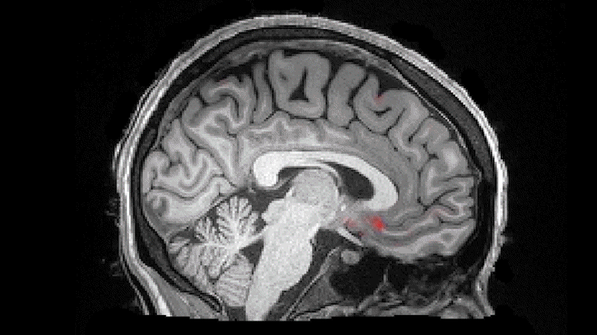
非快速动眼睡眠期间,血液(红色)从大脑流出后脑脊液(蓝色)流入脑室 | Laura Lewis, Boston University
波士顿大学神经学家 Laura Lewis 及其研究小组在一项研究中发现,大脑只有在睡眠中才会出现大量脑脊液。
脑内的神经胶质细胞通过收缩和肿胀来控制这一大脑净化系统的流动。深度睡眠期间,脑脊液的清除效率大大提高,同时大脑的神经胶质细胞体积出现缩小,为脑脊液提供更多「清理空间」。

脑脊液(蓝色)流经大脑,通过小鼠睡眠时扩张的一系列通道清除脑内毒素 | doi: 10.1126/science.342.6156.301
但如果缺乏深度睡眠,那么这一脑内清洁循环系统就很难顺利展开工作,从而导致大量废物沉积,影响不同区域的神经细胞功能,进一步引起各类神经系统症状。
熬夜对于大脑的 debuff 就这样一点一点把你变「笨」了。然而,这个 debuff 的影响远不止此。
昼夜节律的紊乱对于生物的免疫系统也具有强大的破坏性,我们拿一种对人体至关重要的免疫细胞,T 细胞来举例。

从左至右:红细胞、血小板和 T 淋巴细胞 | NCI-Frederick
T 细胞可以对抗细胞内的病原体,例如感染病毒的细胞,如流感、艾滋病毒、疱疹和癌细胞等。
当身体中的 T 细胞识别出受病毒感染的细胞时,它们会激活身上的一类粘附分子——整合素,这是一种粘性的蛋白质,能够让它们附着在受感染的细胞上,并完成“刺杀”。

T 细胞(绿色)在体内吞噬患病细胞 | Cambridge University, YouTube
这种粘性对于 T 细胞的免疫能力来说至关重要,因为 T 细胞要杀死病毒感染的细胞或癌细胞,意味着需要与它们直接接触,而整合素粘性已知能增强 T 细胞的粘附能力,从而促进这种接触。
不过在清醒状态下,人体分泌的应激激素肾上腺素、去甲肾上腺素和促炎分子前列腺素等都会抑制整合素的粘附性。而在睡眠时这些激素水平较低,所以整合素的粘性较强。这意味着如果你缺失睡眠,T 细胞的整合素粘附性就会受到影响。
同时,睡眠对于 T 细胞一类的免疫细胞的作用也不仅限于此。在你休息的时候,以 T 细胞为代表的免疫细胞们会进行「补课」,称为适应性免疫反应,以巩固免疫记忆。

与 IL-18 协同作用,IL-12 的分泌导致 Th1 细胞产生 | JCI
这个过程中,抗原呈递细胞(APC)会将入侵的抗原片段呈递给辅助性 T 细胞(Th),两种细胞形成免疫突触。APC 同时释放白细胞介素-12(IL-12)诱导 Th1 反应,支持抗原特异性细胞毒性 T 细胞的功能,并启动淋巴 B 细胞产生抗体。这种反应最终为抗原产生持久的免疫记忆。
但当你跳过了正常的睡眠过程,免疫细胞也就无法完成「补课」,甚至会因为超负荷工作而蔫头巴脑。
2019 年 2 月,蒂宾根大学的 Stoyan Dimitrov 和 Luciana Besedovsky 领导并发表的一项研究中,研究组对志愿者进行睡眠测试,第一天让他们保证充足睡眠( 23:00-7:00 ),第二天则让他们通宵,并分别对其血液样本中的 T 细胞进行了监测。
结果显示,当获得充足且完整的睡眠时,志愿者们体内的免疫 T 细胞活动随入睡时间增加而愈发活跃,并在早上 6 点到达顶峰;而熬夜的志愿者们体内的 T 细胞活动则明显处于较低水平。

实心圆表示正常睡眠,空心圆表示连续清醒 | doi: 10.1084/jem.20181169
这个实验非常直观地表明,哪怕是短期的睡眠缺失,也确实对免疫细胞的工作效率有着极大的影响,进而可能导致各种因免疫力低下而诱发的疾病和感染。而长久性的熬夜,恐怕会造成难以估量的危害。
由以上这些案例我们知道,熬夜会导致记忆力下降、增加老年痴呆的风险、引起免疫力下降……还有种种老生常谈的健康隐患在这里就不一一赘述了。
但是道理都明白,很多人还是忍不住会惯性熬夜,或者面对被动熬夜的情况,甚至患有睡眠障碍,面对种种不得已的情况,我们如何将熬夜伤害最小化?
助眠小贴士
① 合理睡午觉
无论睡没睡饱,白天小眯一会儿都有助于提高身体的功能性。如果是睡饱的状态,建议以 30 分钟为上限,而如果你严重缺觉,可以将时间加长到 90 分钟。但白天睡眠不宜过长,否则可能扰乱晚上睡眠,比如无法正常入睡或导致在深度睡眠时醒来。
② 学会自我暗示
准备一些放松仪式,比如读书或写日记,向大脑发出睡觉信号,从而让大脑将这些仪式和睡觉联系在一起。不要在床上进行任何与睡觉无关的活动,比如玩手机、聊天。确保自己一躺下就进入准备睡眠的状态,一看到床就只能联想到睡觉。
③ 关注光线和气味
保证睡眠环境的避光性,并在房间中放置一些可以让自己愉悦安神的气味,加快放松过程,更快进入梦乡。
④ 管住嘴
尽量不要在睡前吃喝任何东西,如果确实必须进食,尽量避免高糖、高蛋白或高脂肪的食物和像咖啡、苏打水这样的饮料。也不要喝酒,即使你在睡觉前几个小时喝了,也会影响你的睡眠。从下午开始就尽量远离像咖啡因和尼古丁这样的兴奋剂。

祝你夜夜睡好觉,天天自然醒。
-
封面图来源:
Ethan Medrano, Unsplash
参考资料:
[1] Vyazovskiy, V. V., et al. (2008). Molecular and electrophysiological evidence for net synaptic potentiation in wake and depression in sleep.
Nature neuroscience, 11.2: 200-208.
[2] Wingard DL, Berkman LF. (1983). Mortality risk associated with sleeping patterns among adults.
Sleep, 6(2):102-7.
[3] Dimitrov, S., et al. (2019). Gαs-coupled receptor signaling and sleep regulate integrin activation of human antigen-specific T cells.
J Exp Med, 216(3):517-526.
[4] Besedovsky L., Lange T. & Born J. (2011). Sleep and immune function.
Pflügers Archiv - European Journal of Physiology, 463(1): 121-137.
[5] Jeffrey J. I., et al. (2013). A Paravascular Pathway Facilitates CSF Flow Through the Brain Parenchyma and the Clearance of Interstitial Solutes, Including Amyloid β.
Sci Transl Med, 4(147):147ra111.
最后更新于